CERTIFICACION EN CARILLAS DE PORCELANA

SIN DESGASTE DENTARIO

 

"Cambiarle la sonrisa a un paciente en horas, sin desgastarle las piezas y garantizandole el trabajo, es lo que diferencia a mi clínica del resto ". Dr. Jorge Lopez Berben


MIERCOLES 21 de AGOSTO en la Ciudad de Córdoba 

CLICK AQUI PARA RESERVAR SU LUGAR

Aplicaciones clínicas

  • Reestructurar dientes desalineados.
  • Dientes permanentemente pigmentados
  • Dientes extremadamente sensibles 
  • Dientes fracturados y agrietados 
  • Cerrar diastemas
  • Revitalizar coronas de porcelana
  • Dientes con formas anormales 
  • Obtener una sonrisa más estética
  • Grandes restauraciones de composite que fracasan
  • Niños con traumatismo en centrales
  • Lesiones de clase III
  • Lesiones de clase IV
  • Lesiones de clase V
  • En coronas de porcelana fracturadas
  • Nivelar la sonrisa
  • Rehabilitaciones hechas con distintos materiales y variación de tonos
  • En caninos difíciles de blanquear
  • Blanqueamientos permanentes
  • En premolares pigmentados por antiguas amalgamas
  • En coronas de porcelana fracturadas
  • Sobre coronas acrilicas manchadas

Beneficios para el PACIENTE

Beneficios para el PROFESIONAL

  • Sin desgaste dentario – conservando la pieza intacta
  • Es un procedimiento 100% reversible
  • Solo lleva una o dos visitas
  • Indoloro
  • Alta Durabilidad
  • Refuerza el esmalte debilitado o agrietado
  • Refuerza la pieza que presenta restauraciones
  • No genera sensibilidad postoperatoria 
  • Es una solución accesible para la restauración de la sonrisa  
  • Alta calidad de porcelana
  • Resistente a manchas
  • Evitamos la técnica de mano libre
  • Se evita el estrés clínico de tallar la pieza  
  • Se evita la confección y colocación de provisorios 
  • La adhesión es sobre el esmalte 
  • Sin contratiempos y costos de laboratorio
  • No requiere colocación de hilo retractor  
  • Es la única solución de carillas de porcelana con 0.3mm de espesor
  • Larga duración
  • Técnica rápida
  • Usos estéticos y funcionales
  • Mejor acabado y resistencia a través de la porcelana.

Información Técnica

Comparación con otro cemento de mercado

Cementación sobre corona de acrílico y carillas de resina

La Porcelana

La porcelana CERINATE fue creada por DenMat y utilizada en las carillas Lumineers desde hace más de 35 años. Las carillas DUO son del mismo material que las Lumineers con la única diferencia que no son exactamente personalizadas a la forma de la pieza dental. La porcelana Cerinate es FELDESPATICA reforzada con nano cristales de leucita (los nano cristales de leucita dan la fuerza de la Alumina). La uniforme distribución de los leucitos es crítica para la fuerza y belleza de la porcelana CERINATE.

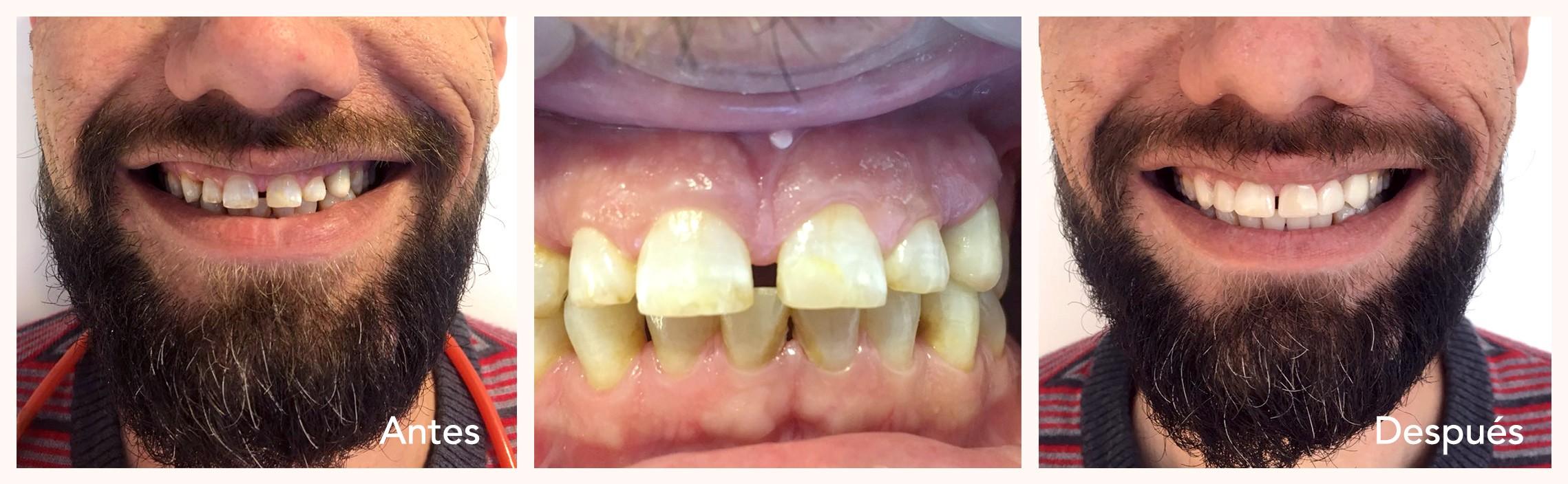
cierre de diastema manteniendo la identidad del paciente

Agenda de la certificación

9.00 – 9.15 Coffe

9.15 – 11.15

  • DenMat en el mundo
  • Desarrollo conceptual de la técnica para carillas Lumineers
  • Desarrollo conceptual de la prótesis removible, sin paladar ni ganchos, Snap on Smile
  • Capacitación teórica de carillas Duo

11.15 – 11.30 Break

11.30 – 13.00

  • Testeo del cemento resinoso sobre modelo y carilla
  • Casos
  • Control de calidad y garatía
  • Comunicación del tratamiento a pacientes

13.00 – 14.00 Almuerzo

14.00 – 16.30

  • Colocación de seis carillas en un paciente realizado por el profesional a cargo del curso
  • Introducción a Laser de diodo y sus aplicaciones en la odontología general
  • Cierre del curso y entrega de diplomas

Material del Curso

Todos los profesionales recibirán 

  • Presentación del curso en forma impresa y digital.
  • Una carilla de muestra para mostrar a sus pacientes (valor usd 60).
  • Accesso a la biblioteca digital de imágenes y videos para uso promocional en sus redes sociales.
  • 1 display de Snap on Smile para colocar en su sala de espera.
  • 1 display de Carillas Duo para colocar en su sala de espera.
  • Diploma de la certificación de DenMat USA.

 

Los profesionales que adquieran el kit además recibirán

  • Soporte técnico vía whatsapp y telefónico.
  • Acceso al grupo privado de Facebook Comunidad DenMat.
  • Acceso a la certificación on-line con videos del curso y material extra para poder rever los conocimientos adquiridos en cualquier momento que lo desee.

INSCRIPCION

$14.900

  • La reserva de su vacante se realiza abonando $2000 y el resto se abona el día del curso
  • El valor de la certificación podrá ser descontado en su totalidad para la compra del kit el día del curso.

     

CLICK AQUI PARA RESERVAR SU VACANTE

Kit de 28 carillas + 4 cementos

El Kit incluye:

28 Carillas con la siguiente distribución:

  • Central superior medium 2 unid #11 y 2 unid #21
  • Lateral superior medium 2 unid #12 y 2 unid #22
  • Canino superior medium 2 unid #13 y 2 unid #23
  • Central superior large 2 unid #11 y 2 unid#21 
  • Lateral superior large 2 unid #12 y 2 unid #22
  • Canino superor large 2 unid #13 y 2 unid #23
  • Premolar superior universal 2 unid. Medium & 2 unid. Large

Accesorios:

  • Dappen Dish 7pc
  • Patient Caddy 7pc
  • Puntas para jeringas de cemento 25u
  • Puntas para cepillo 25u
  • Mango para puntas de cepillo 1u
  • Matrix Strips CLR
  • Schure 349 Instrument
  • CeriSaw Anterior Handle 1u
  • CeriSander Strips U-Fine 6u
  • CeriSander Strips Fine 6u
  • Guía de tamaño Upper S,M,L
  • Gua de tamaño Upper XS, XL
  • Guía de tamaño Lower S,M
  • Duo PCH Manual

Cementos:

  • A1/B1
  • A2/B2
  • A3.5
  • OM1
  • TetraPaque Enamel Paste 1g
  • Porcelock Porcelain Etchant 1.7ml
  • Etch ‘N’ Seal 3ml 
  • Porcelain Laminate Polishing Paste 5g 
  • Porcelain Conditioner 6g 
  • Cerinate Prime 5ml 
  • Tenure Adhesive A &&B 6ml 
  • Tenure S Dab-Eze 3g

Valor del kit $79.900*

(valor promedio por cada carilla de porcelana con materiales $ 2850) 

*PUDIENDO APLICAR EL PAGO DE LA MATRICULA A LA COMPRA DEL KIT. LA COMPRA DEL KIT NO ES OBLIGATORIA PARA REALIZAR EL CURSO.

CLICK AQUI PARA RESERVAR SU LUGAR

00

DIAS

00

HORAS

00

MINUTOS

00

SEGUNDOS

Consultas

+549-11-5145-7551

CLICK AQUI PARA RESERVAR SU LUGAR
 

Contenido adicional 1

Durante el curso tendrá la oportunidad de capacitarse en Snap on Smile

¿Qué es el Snap on Smile?

Es una prótesis removible de resina acetílica modificada, que logra una perfecta retención abrazando el cuello de las piezas dentarias. No tiene paladar ni ganchos.La flexibilidad del material hace que el Snap on Smile pueda expandirse y contraerse.

¿Para qué puedo utilizar un Snap on Smile?

  • Remplazar piezas faltantes 
  • Cerrar diastemas
  • Cambiar el color de las piezas
  • Cambiar la forma de las piezas
  • Ensanchar el corredor bucal
  • Alargar las piezas
  • Mejorar la alineación
  • Elevar la dimensión vertical
  • Eliminar una sonrisa gingival
  • Prótesis temporal para implantología
  • Prótesis permanente para pacientes que no pueden afrontar un trabajo integral y costoso en sus bocas
  • Solución definitiva para pacientes de edad avanzada.

Contenido adicional 2

Durante el curso tendrá la oportunidad de tener un primer acercamiento a un láser de diodo de tejido blando

ALGUNAS APLICACIONES CLINICAS  

  • Biopsias excisionales e incisionales  
  • Exposición de dientes no erupcionados
  • Eliminación del fibroma  
  • Frenectomía 
  • Reemplaza al cordon de retracción gingival para toma de impresión. 
  • Gingivectomía  
  • Gingivoplastía
  • Incisión y excisión gingival 
  • Hemostasia y coagulación 
  • Recuperación del implante  
  • Incisión y drenaje del absceso 
  • Eliminación láser de tejidos blandos infectados, inflamados y necrosados dentro de la bolsa periodontal
  • Tratamiento de aftas, úlceras herpéticas y aftosas de la mucosa oral

Preguntas Frecuentes

El curso se dicta el  MIERCOLES 21 DE AGOSTO en la Ciudad de Córdoba De 9 a 17hs

Por la mañana vamos a ver en forma teórica como se colocan las carillas de porcelana DUO. Una buena colocación puede hacer que las carillas duren más de 20 años. Por la tarde vamos a colocar las carillas en un paciente para que se pueda ver la técnica y la transformación. También vamos a compartir conocimientos de lo que viene en Laser de tejido blando y Snap on Smile (si no sabe lo que es, por favor búsquelo en internet.... se va a sorprender..)

El costo del curso es de $14.900.

Usted reserva su vacante abonando $2000 y el resto lo abona el día del curso.

El kit es un set que contiene todos los cementos, adhesivos, instrumentos y carillas (28 unidades) para poder ser independiente del laboratorio y tener la posibilidad de restaurar una sonrisa en un día.

El kit contiene 28 carillas. Aquí abajo le dejamos la distribución: 4 incisivos centrales en tamaño mediano y 4 incisivos centrales en tamaño grande 4 incisivos laterales en tamaño mediano y 4 incisivos laterales en tamaño grande 4 caninos en tamaño mediano y 4 caninos en tamaño grande 2 premolares en tamaño mediano y 2 premolares en tamaño grande

En el curso se dicta la técnica para adaptar la carilla al diente del paciente

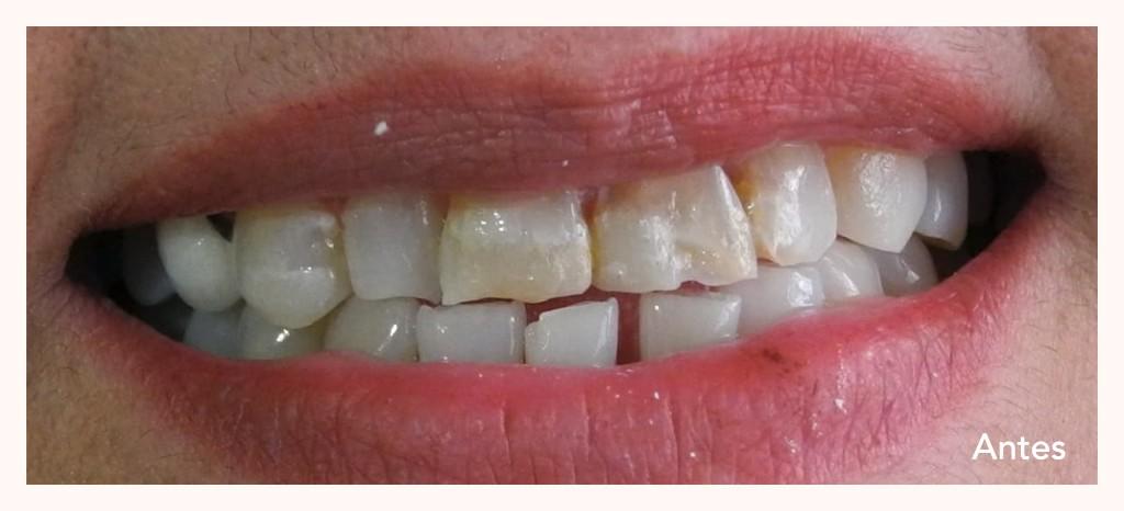
En el curso podrá observar que el paciente no tuvo desgastes. Todas las fotos de la página del curso son un antes y después inmediato. Las carillas de porcelana son ultra delgadas y clínicamente su espesor no es percibido por el paciente.

DenMat tiene stock de todas las carillas, cementos y accesorios del kit. A medida que se acaban puede ir reponiendo, inclusive las carillas menos comunes que no vienen en el kit (XS, S, XL en superior y S, M en inferior)

El kit de 28 carillas y 4 cementos tiene un valor de $79.900. Al comprarlo o señarlo el día del curso va a poder descontarle el valor del curso. Si, entendió bien, si compra el kit el día del curso, el curso no tiene costo.

Dependiendo de la zona en que esté su consultorio, las carillas se cobran entre $7500 y $10500. Solo necesita colocar de 7 a 10 carillas para recuperar la inversión del kit y quedarse con las restantes carillas (aprox. 20/22) y cementos. 

El curso tiene un cupo máximo de 11 profesionales y las vacantes se completan dentro de los primeros 7 días de lanzado el curso.

Usted puede pagar el curso con tarjeta de crédito o transferencia bancaria.

Los cementos y adhesivos tienen distintas fechas de vencimiento con un mínimo de 10 a 12 meses. La mayoría de los componentes tiene una fecha de vencimiento promedio de 18 meses apróximadamente

Usted recibirá una carilla de porcelana de muestra para poder mostrarle a sus pacientes, un cartel para colocar en la sala de espera y acceso a una carpeta digital para poder utilizar todos los logos y fotos de DenMat en las redes sociales.

Todas carillas de porcelana Cerinate son 50% translucidas en color B1. El color esta dado por el cemento utilizado al momento de la colocación. Los cuatro colores de cementos que contiene el kit son A1/B1, A2/B2, A3.5, OM1.

Las carillas y los cementos van a ser los dos principales componentes de reposición del kit. Las carillas y los cementos tienen un costo de 60 usd respectivamente.

Si. Para poder analizar si el paciente es candidato para el sistema de carillas DUO, recomendamos que traiga los modelos del paciente para que el speaker puede analizar el caso y recomendarle el plan de tratamiento adecuado.

NO. Solo en efectivo, transferencia o cheques a 30,60 y 90 días.

No. La tasa de reclamos de los profesionales es menor al 0.5% y generalmente se debe a una falla en el protocolo de adhesión. En estos casos DenMat repone al profesional la carilla sin costo.

Las carillas de porcelana CERINATE son las únicas carillas con estudios científicos de más de 30 años en boca. Con un buen cuidado por parte del paciente pueden durar muchos años. 

Si. DenMat ofrece al profesional un año de garantía por las carillas colocadas.

Close

50% Complete

Two Step

Lorem ipsum dolor sit amet, consectetur adipiscing elit, sed do eiusmod tempor incididunt ut labore et dolore magna aliqua.